孔脳症を伴う難治てんかんでのてんかん外科手術の有効性および術前評価における発作時スペクトの有用性が明らかに

Ichikawa, Usui, Kondo, et al., Journal of Neurosurgery Case Lessons, 2021.

1. 研究成果のポイント

  • 孔脳症を伴う難治焦点てんかん11例における外科治療について報告した。
  • 脳波では両側性で多焦点性の発作間欠期てんかん性放電が11例中の5例でみられた。
  • 発作時脳波が記録された10例中6例では発作の起始側は判定困難であった。
  • 発作時スペクトを行った9例中の8例で一側性の高灌流がみられた。
  • FDG-PETは機能低下域の検出に有用であった。
  • 頭蓋内脳波を必要とした症例はなかった。
  • 7例で半球離断術、3例で半球後方の離断術、1例で後頭葉の離断術を行った。
  • 11例中の10例で良好な発作転帰(発作消失あるいは稀発)が得られた。また新たな神経学的脱落症状を呈した症例はなかった。
  • 発作時スペクトやFDG-PETを含む充分な術前精査を行うことで、頭蓋内脳波検査を行うことなく手術が可能となり、発作抑制および機能面で良好な結果が得られることが明らかとなった。

2. 研究の背景、目的

    図1
  • 孔脳症は、 脳実質内に脳脊髄液の貯留した嚢胞を認める稀な病態であり、しばしば難治なてんかん発作の原因となる。
  • 孔脳症に伴う難治てんかんに対するてんかん外科治療の報告は少ない。
  • 孔脳症に伴う難治てんかんに対する外科治療では、頭蓋内脳波が有用とする報告がいくつかみられる。
  • 当院では、孔脳症に伴う難治てんかんに対し、頭蓋内脳波を行うことなく手術を行い良好な発作転帰、機能転帰を得た。
  • 孔脳症に伴う難治てんかんにおけるてんかん外科戦略について検討した。

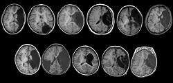
3-1. 結果: 臨床特徴および術前評価

    図2
  • 対象は、孔脳症に伴う難治てんかん発作を有し、てんかん外科治療をおこなった11例。
  • 孔脳症は全例で左側にみられた(うち1例では両側性)
  • 10例では中大脳動脈領域、1例では後大脳動脈領域に孔脳症を認めた。
  • 11例中の10例で術前から右片麻痺を認めた。

3-2. 結果: 術前評価

    図3
  • 発作症状:発作が記録された10例中の8例で側方徴候あり。
  • 発作間欠期脳波:11例中5例で両側性で多焦点性のてんかん性放電がみられた。
  • 発作時脳波:発作が記録された10例中の6例で発作の起始側は判定困難であった。
  • 発作時スペクトを行った9例中の8例で一側性の高灌流がみられた。
  • FDG-PETは機能低下域の検出に有用であった。
  • 頭蓋内脳波をおこなった症例はなかった。

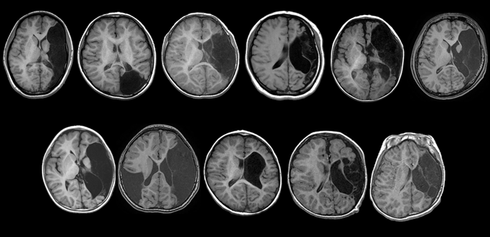
3-3. 結果: 手術、術後の発作転帰、機能転帰

図4
  • 7例で半球離断術、3例で半球後方の離断術、1例で後頭葉の離断術を施行した。
  • 11例中10例で術後の良好な発作転帰(発作の消失あるいは稀発)(Engelのclass I ないしはII)が得られた。
  • 術後に新たな神経脱落症状を呈した症例はなかった。

4. 研究成果で明らかになったこと

  • 発作症状や脳波からは、発作の起こっている側が不明確な症例も多かったが、発作時スペクトが発作起始側を知るうえで有用であった。FDG-PETは機能低下域の同定に有用であった。
  • 発作時スペクトやFDG-PETを含め、術前に徹底的な非侵襲的精査を行うことで、頭蓋内脳波は省略しうると考えられた。
  • てんかん外科手術後の発作転帰、および機能転帰は良好であった。

5. 特記事項